¿Qué es el Bruxismo?
El bruxismo es una condición común caracterizada por el hábito de apretar o rechinar los dientes, generalmente durante la noche. Esta acción puede causar un desgaste significativo en los dientes, problemas de mordida y dolor en la mandíbula. En Hondarribia Klinika (Gipuzkoa), tratamos el bruxismo con técnicas avanzadas para restaurar la salud y funcionalidad de tu sonrisa.
Causas del Bruxismo
El bruxismo puede ser provocado por varios factores, incluyendo:
1. Estrés y Ansiedad: El estrés emocional es una causa común del bruxismo.
2. Maloclusión: Problemas de alineación dental pueden contribuir al bruxismo.
3. Factores Genéticos: El bruxismo puede ser hereditario.
4. Estilo de Vida: Consumo de cafeína, alcohol y ciertos medicamentos pueden aumentar el riesgo de bruxismo.
Consecuencias del Bruxismo
El bruxismo no tratado puede llevar a varios problemas dentales y de salud, tales como:
• Desgaste Dental: Pérdida de esmalte y desgaste de los dientes.
• Dolor de Mandíbula: Dolor y rigidez en la mandíbula.
• Dolores de Cabeza: Cefaleas frecuentes.
• Problemas de Mordida: Desalineación de los dientes y mordida colapsada.

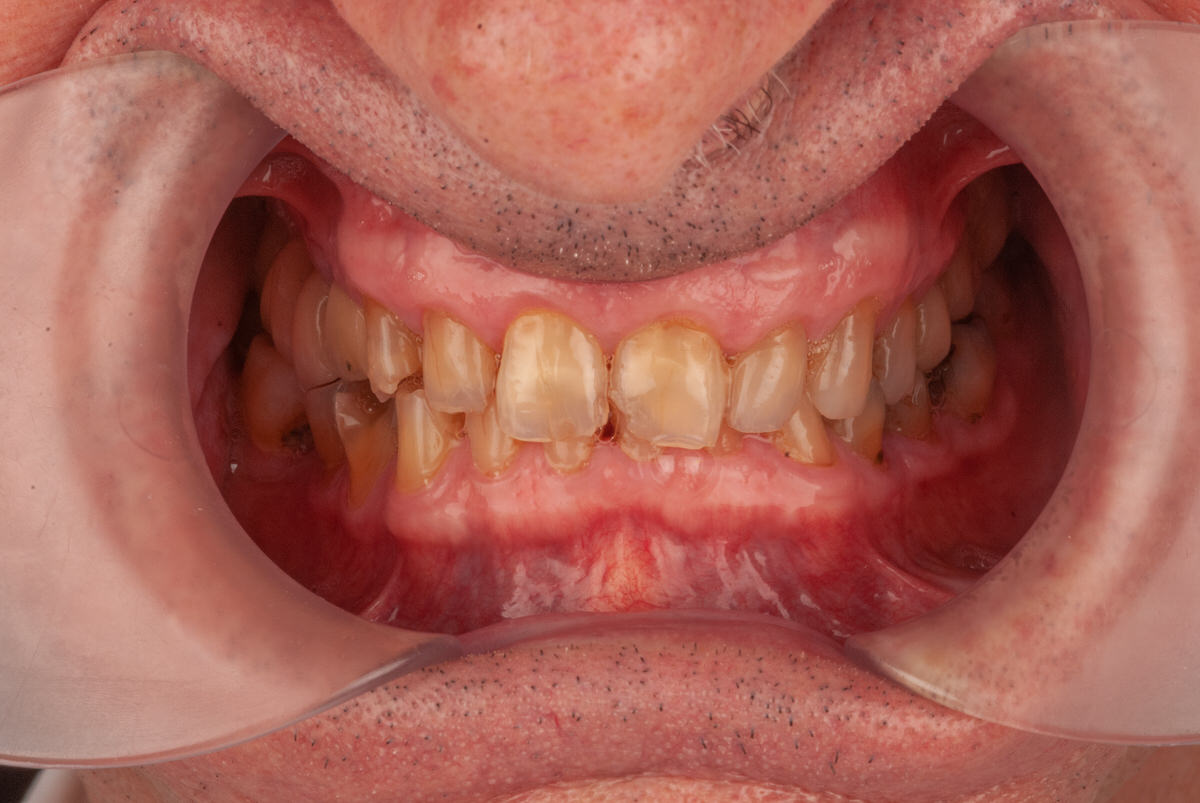
Caso Real: Rehabilitación de un Paciente con Bruxismo Severo
Diagnóstico de Bruxismo
Este paciente llegó a nuestra clínica en Hondarribia con un caso de bruxismo muy marcado. Sus dientes presentaban un desgaste severo, especialmente en los incisivos centrales, que mostraban una apariencia traslúcida debido al desgaste extremo. La mordida estaba colapsada, con los dientes superiores cubriendo excesivamente a los inferiores.
Desafío del Tratamiento
La dificultad principal en este caso radicaba en que el paciente, al ser capaz de desgastar su propio esmalte, también podría dañar cualquier restauración dental. Por lo tanto, no podíamos simplemente reparar los dientes más desgastados; era necesario rehabilitar tanto los dientes superiores como los inferiores.
Plan de Tratamiento para el Bruxismo
1. Restauración de Volumen y Altura: Devolvimos el volumen perdido a los dientes y restauramos la altura de la mordida colapsada.
2. Rehabilitación Mínimamente Invasiva: El tratamiento fue diseñado para ser lo menos invasivo posible, añadiendo material donde el paciente había perdido esmalte sin desgastar más sus dientes.
En solo cuatro visitas, logramos una rehabilitación completa con resultados excepcionales. La sonrisa del paciente mejoró significativamente y, lo más importante, el tratamiento se mantuvo estable a lo largo del tiempo, brindando una solución duradera al problema del bruxismo.

Tratamientos para el Bruxismo en Hondarribia Klinika
En Hondarribia Klinika, ofrecemos una variedad de tratamientos para el bruxismo, adaptados a las necesidades individuales de cada paciente:
1. Férulas de Descarga: Dispositivos personalizados que protegen los dientes del desgaste nocturno.
2. Terapia de Relajación: Técnicas para reducir el estrés y la ansiedad.
3. Ortodoncia: Para corregir problemas de alineación dental que contribuyen al bruxismo.
4. Rehabilitación Dental: Restauración de dientes desgastados con materiales duraderos.
El bruxismo es una condición seria que puede afectar la salud dental y general. En Hondarribia Klinika, Gipuzkoa, estamos comprometidos a proporcionar tratamientos eficaces y personalizados para abordar el bruxismo y sus consecuencias. Si sufres de bruxismo, te invitamos a visitar nuestra clínica para una evaluación completa y tratamiento adecuado. Estamos a 20 minutos de San Sebastián.
Explora nuestros tratamientos o visítanos en nuestra clínica en Hondarribia para obtener más información y comenzar tu camino hacia una sonrisa saludable y sin dolor.