La Revolución de los Alineadores Invisibles
La ortodoncia ha evolucionado significativamente en los últimos años, y una de las innovaciones más destacadas son los alineadores invisibles, especialmente Invisalign®. Estos dispositivos ofrecen una alternativa estética y cómoda a los brackets tradicionales, permitiendo corregir problemas de alineación dental de manera casi imperceptible. En Hondarribia Klinika, hemos ayudado a numerosos pacientes a mejorar su sonrisa utilizando esta avanzada tecnología.
Caso de Ana: Una Transformación con Invisalign®
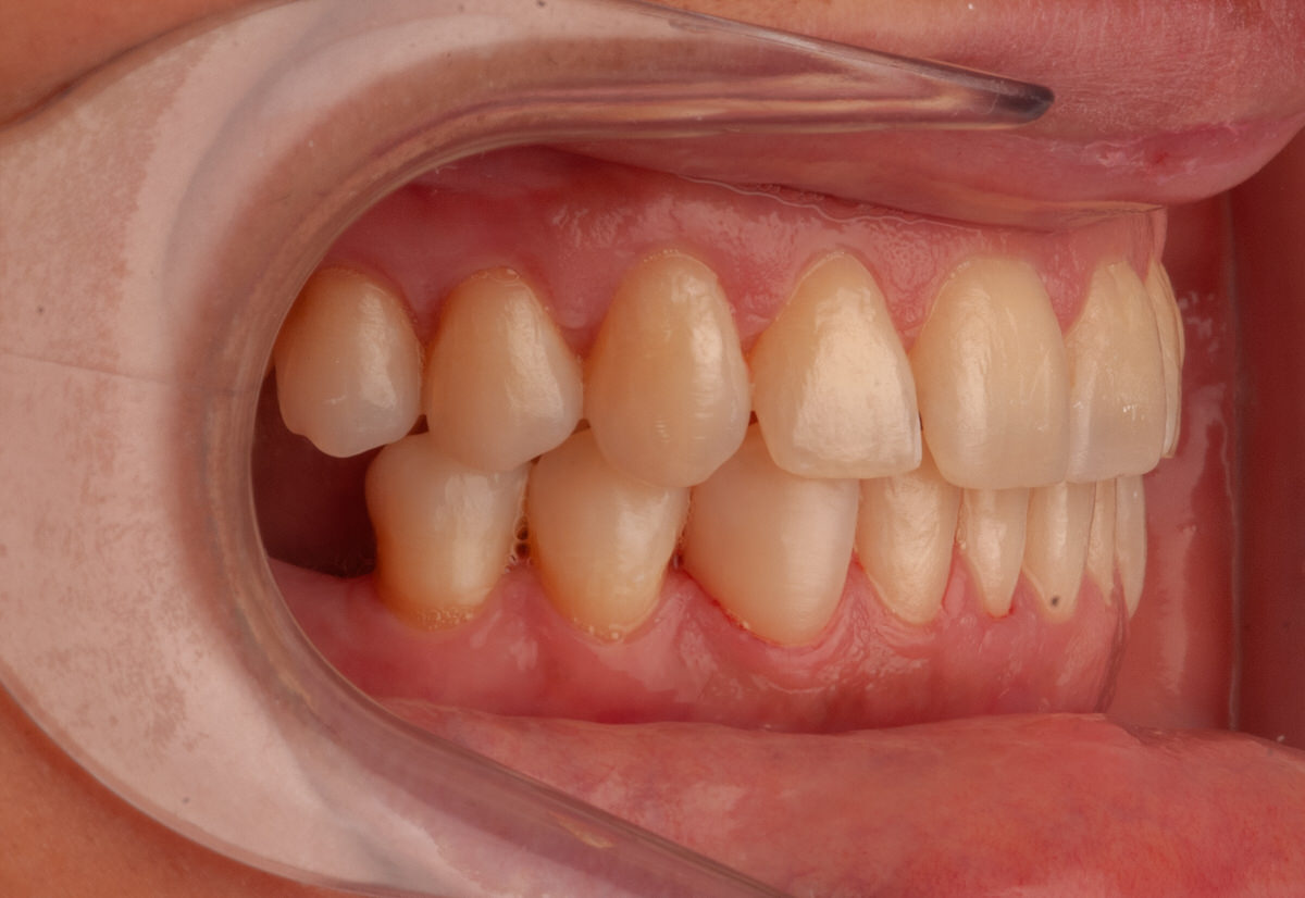
Diagnóstico Inicial de Dentadura
Ana llegó a nuestra consulta preocupada por el desgaste de sus incisivos centrales. Al sonreír, apenas mostraba los dientes y su mordida era incorrecta, con los dientes centrales mordiendo borde a borde, lo que causaba un desgaste significativo.
Plan de Tratamiento con Ortodoncia
Para abordar el caso de Ana, era imprescindible un tratamiento de ortodoncia previo a cualquier procedimiento estético. Decidimos utilizar alineadores invisibles, y más concretamente, el sistema Invisalign®, debido a sus múltiples ventajas.

Objetivos del Tratamiento de Ortodoncia
1. Cerrar el Diastema: Ana presentaba un espacio entre los incisivos centrales que no le gustaba.
2. Mejorar la Relación entre Dientes Superiores e Inferiores: Reposicionar los dientes para una mordida más estable.
3. Optimizar el Engranaje Posterior: Asegurar una mejor función masticatoria.

Diseño de Sonrisa con Invisalign
Utilizamos un software avanzado para planificar el tratamiento con Invisalign®. Este programa nos permite visualizar los movimientos dentales y establecer objetivos claros antes de comenzar el tratamiento. De esta manera, Ana pudo ver una simulación de los resultados esperados, lo que aumentó su confianza en el proceso.
Una vez finalizado el tratamiento de ortodoncia con Invisalign®, procedimos a colocar cuatro carillas de composite inyectado en los dientes laterales y centrales. Este procedimiento fue sencillo y se realizó en una sola visita, proporcionando resultados inmediatos y sin dolor.
El resultado fue impresionante. Las carillas de composite, combinadas con el tratamiento de Invisalign®, lograron dientes más visibles, una apariencia más joven y una boca mucho más sana. Ana estaba encantada con su nueva sonrisa, que ahora es más estética y funcional.

Beneficios de alineadores de Invisalign®
Estética. Los alineadores invisibles de Invisalign® son prácticamente invisibles, lo que permite a los pacientes continuar con su vida diaria sin sentir vergüenza por su tratamiento ortodóntico.
Comodidad. Invisalign® es cómodo de usar y se puede quitar para comer, cepillarse los dientes y usar hilo dental. Esto facilita el mantenimiento de una buena higiene oral durante el tratamiento.
Eficacia. Invisalign® es eficaz para tratar una amplia variedad de problemas de alineación dental, desde casos leves hasta complejos.
Personalización. Cada conjunto de alineadores se personaliza para ajustarse perfectamente a la boca del paciente, garantizando movimientos dentales precisos y un ajuste cómodo.
Los alineadores invisibles, y en particular Invisalign®, representan una solución avanzada para aquellos que buscan corregir problemas de alineación dental sin comprometer la estética. En Hondarribia Klinika, estamos comprometidos con ofrecer tratamientos personalizados y efectivos para cada paciente. Si estás considerando mejorar tu sonrisa, te invitamos a descubrir los beneficios de Invisalign® y cómo puede transformar tu vida.